Cosmetic Dentistry in Long Island, NY
Confident.
Beautiful. You.
- Free consultations for new patients
- View results before you commit
- 30+ years of cosmetic expertise
- Advanced tech for stunning outcomes

Leading Cosmetic Dentistry
in Long Island
What Sets Us Apart?

"Dr. Buono is a fantastic dentist—patient, kind, and friendly.
His staff is wonderful too!"
Lynne G., 5-Star Review


Experience
Dr. Louis Buono has more than 30 years of experience, and he is a member of the American Academy of Cosmetic Dentistry. He has trained with world-renowned cosmetic dentists, including Dr. Larry Rosenthal in the Aesthetic Advantage program.
Best Dental Labs
After three decades in practice, Dr. Buono has developed relationships with some of the best dental laboratories in the country. These labs employ skilled ceramicists known for crafting natural-looking, high-quality veneers and other restorations.
Advanced Technology
We use advanced technologies, techniques, and materials to give you the best dental experience and outcomes possible. For example, we use the iTero® scanner to take 3-D images of your smile when planning orthodontics and other treatments.
Free Consultations
Contact our Long Island practice to request a free consultation. During this appointment, Dr. Buono can discuss your treatment options with you and provide the option of going through the PreNew PreView process.
Dozens of 5-Star Reviews
We are proud to have earned dozens of 5-star reviews on Google and other platforms. These positive reviews are a testament to the quality of care we provide. Let us show you why so many patients love our practice!

Preview Your Smile
Before You Undergo Treatment
We use the PreNew PreView tool, which was created by master ceramicist Jason J. Kim. This tool enables dentists to show patients what their smile will look like before they commit to treatment. The process involves Dr. Buono taking photos and impressions of your teeth. These are sent to the Jason J. Kim Dental Aesthetics lab, where a smile mockup is created. The mockup can actually be placed over the patient's teeth during an appointment at our practice so they can preview their results in real life instead of relying on digitally manipulated images.
Contact our practice to ask a question about this cosmetic dentistry innovation or request a consultation. You can also reach us by phone.
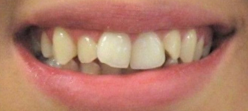
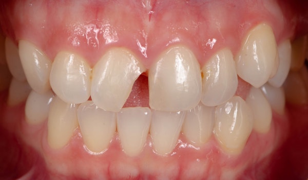
Real Patient Results
Before & After

We Consistently Achieve Beautiful Results
Our dentist in Garden City, NY, has a long history of achieving attractive and natural-looking results with porcelain veneers. This patient experienced a dramatic improvement in appearance and self-confidence.
Book Your Free Cosmetic
Consultation Today
A new smile is something worth celebrating. Our dental team makes this exciting step even easier with free consultations for first-time patients.
During this consultation, Dr. Buono will listen to your goals and concerns. He'll also give you a kind but transparent answer about your options. We don't perform cosmetic treatments unless they're safe for our patients, so you can trust us to put you first.
From teeth whitening to Invisalign®, you have so many options to explore. Learn more about your candidacy by contacting our Long Island team. You can also call us anytime.

Radiant Smiles.
Rave Reviews.
“Dr B and his entire staff are all caring amazing professionals. Top notch dental care and Dr B is so kind weve gone to him for decades my entire family goes to him and hes like family to us! Highly recommend!”
- Lala, 5-Star Review
Porcelain Veneers
Porcelain veneers are ultra-thin ceramic pieces that can be placed over the teeth to give a dull or cosmetically flawed smile a powerful upgrade. Dentists use them to mask stains, cracks, or unevenness in the smile, and they can be used on multiple teeth. Dental veneers are intended solely as a cosmetic treatment, which is why they are only placed on the most visible teeth.
Teeth Whitening
At Garden City Smiles, we offer whitening to patients with stained teeth. A bright, white smile can be the key to making a lasting impression, and we want to help our patients exude confidence. Our dentist offers Zoom!® teeth whitening treatments to help patients brighten their smile in one easy office visit.
Laser Gum Contouring
During laser gum contouring, our dentist uses laser technology to gently remove small amounts of tissue when patients have excessive gum tissue or an uneven gum line.
To enhance your cosmetic dentistry results, we may also perform teeth whitening or place porcelain veneers.
Dental Bonding
Dental bonding is a cosmetic dentistry procedure that involves placing a composite resin onto the teeth to achieve an effect similar to what veneers provide. Bonding can be used to hide chips, cracks, or discoloration, and is a good cosmetic option for use on the front teeth. Dr. Buono is a skilled cosmetic dentist who can shape and color the bonding material to blend seamlessly with all your teeth.
White Fillings
Tooth-colored fillings blend with your teeth and are virtually unnoticeable.
Whether you have old silver fillings that need to be replaced or a new cavity, our dentist can place white fillings at our Long Island practice to provide both practical and cosmetic benefits.
Clear Aligners
Although nearly everyone wants a straight smile, some are reluctant to undergo orthodontic treatment because of a concern that the metal brackets of traditional braces will cause pain or embarrassment. Our dentist offers Invisalign® and ClearCorrect™, which use a series of clear removable aligners to help patients achieve an attractive smile. This orthodontic treatment can straighten your teeth, but without the discomfort, frequent dental appointments, or food restrictions associated with braces.
A Straighter, Stunning Smile
Crafted With Invisalign
Here is another example of the transformative results our dentist in Long Island can achieve for you. This patient's overcrowded teeth were shifted into their proper positions using Invisalign.



Millions of Patients
Trust Invisalign
It's never too late to subtly straighten your teeth. Invisalign is made for both teenagers and adults, allowing you to follow your own dental treatment timeline. The brand earned FDA approval in 1998, and since then, more than 17 million patients have used clear aligners to achieve stunning smiles.
Want to find out if Invisalign is right for you?


Choose a Dentist
With Extensive Training
It’s your smile, and of course you want peace of mind. If you've spent months or years wishing you could refine your teeth, you've likely experienced your fair share of anxiety.
Our dentist understands this completely. That's why he pairs his caring demeanor with extensive cosmetic training. For instance, he learned about his craft at the Dawson Center for Advanced Dental Study.
Dr. Buono also studied at the Aesthetic Advantage Program, honing his skills with instruction from a famous cosmetic dentist. He invests in advanced technology for easier dentistry treatment and improved patient comfort. He is also trained to place dental implants, while other Long Island dentists may have to refer out for the procedure. Finally, Dr. Buono likes to pass his knowledge on to you, so you can feel confident in your care.
If you're ready to learn about your options, contact our Long Island practice. Or, give us a call.

Dedicated to
Patient Care
“Dr. Buono is a genuinely kind and very professional dentist along with his assistant and staff., truly a wonderful caring office of great folks. I would recommend very much so.”
- Ellen, 5-Star Review
Restorative Dentistry
Is Also Available
Dr. Buono's first priority will be to save your natural tooth. Sometimes, though, that course of treatment may no longer be possible. However, there are still options to give you a beautiful and healthy smile.
So, what happens next? If you've lost a tooth or need one extracted, then you need restorative treatment, as opposed to cosmetic treatment. This can involve a combination of dental implants and restorations, or it may involve attaching a restoration to your natural teeth.
Because our dentist is qualified to practice both restorative and cosmetic dentistry, you can trust him to carry out every step of your treatment, no matter your needs.


General and Restorative
Dentistry Services
Used for Healthy Smiles If your dental concerns are more practical than aesthetic, you may need a different course of treatment. Dr. Buono can restore the health and functionality of your smile with options like:
- Dental Bridges
- Dental Crowns
- Dental Implant Restorations
- Dentures
- Inlays and Onlays
- Gum Disease Therapy
Cosmetic Dentistry FAQs
Before you decide to visit our Long Island office, you may have a few quick dentistry questions. Some of the most common ones we hear include:
Are cosmetic treatments covered by dental insurance?
No, dental insurance doesn't cover cosmetic treatments. It's used only for necessary procedures.
Still, we can help ease the cost of treatment with a free consultation.
What happens if my mouth isn't healthy enough for treatment?
Cavities and gum disease are common dental problems. We're not here to judge; we're here to help. Our dentist offers cleanings, fillings, and periodontal treatment. In more advanced cases, Dr. Buono may need to place a traditional crown or a restoration supported by a dental implant. Once your mouth is healthy again, we can explore cosmetic dentistry.
What can I do if I want to explore multiple procedures?
Talk to Dr. Buono! Our dentist can create a custom plan designed to achieve your unique smile goals, often combining multiple treatments per appointment so you need fewer visits to create your dream smile. Of course, Dr. Buono will only combine procedures if it's safe for you.














