
Dental Crowns
What Are Dental Crowns?
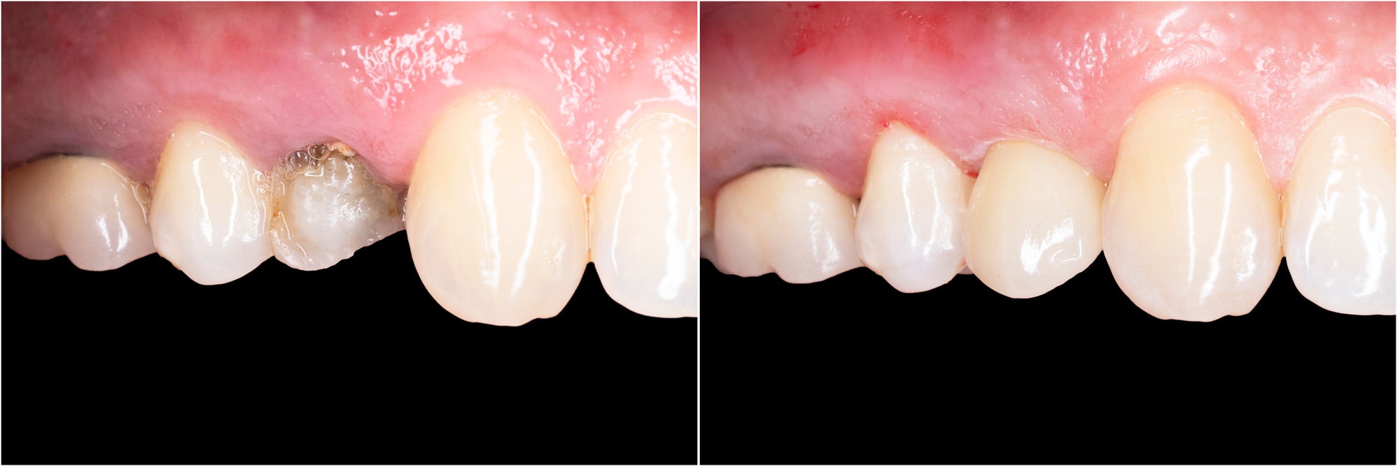
A crown is a tooth-shaped cap that is placed over a healthy tooth after the damaged portion has been removed. Crowns are often the final step in a root canal treatment. If you have lost teeth, we can also secure a crown to a dental implant to fill the gaps in your smile. We can craft your restoration from several different materials including porcelain, resin, and ceramic to best suit your budget and aesthetic goals.
Find Relief Soon With a Temporary Crown
/
After breaking a tooth or dealing with painful decay, you may feel stuck in a nerve-wracking situation. Luckily, relief is on the way. Our dentist can place a temporary crown as you wait for your natural-looking permanent crown.
Dental Crown Placement Means an End to Your Stress

Garden City Smiles Provides First-Rate Care
Dr. Buono is committed to creating bright, stunning smiles for all of his patients. Because our practice believes in comprehensively treating your smile, we perform a wide range of procedures designed to improve your oral health and the aesthetics of your teeth. We are constantly updating our dental office in Garden City, NY, with the latest technologies in the field to give our patients the high-quality treatment they deserve.
Dr. Buono has provided top-of-the-line cosmetic and restorative dentistry for patients in the Long Island area for decades, taking on even the most severe cases of dental concerns. Contact our office today to learn more about how we can restore the appearance, comfort, and functionality of your smile. Our friendly staff is happy to help you schedule a consultation when you call:

"Highly knowledgeable and up to date." Why Patients Trust Us
BEST DENTIST. Communication with patients is always clear and thorough. Dr. Buono is so awesome and his hygienist Penelope is so friendly and amazing. They make me feel at home and comfortable. Highly recommended.
View On GoogleDr Buono’s office is very professional. His office is very concerned about the comfort of the patients. Dr Buono is highly knowledgeable and up to date on the latest developments in dentistry I highly recommend him.
View On GoogleInnovative Dental Technology Provides Superior Treatment
Our innovative Cadent iTero™ scanner takes digital impressions of your teeth to create ultra-precise custom crowns. The scanner has done away with outdated messy putty impressions, improving the comfort of treatment, and the quality of the final results. Dr. Buono was the first cosmetic dentist in the world to use this technology, which is now utilized by dental practices worldwide for its convenience and accuracy.

Cadent iTero Scanner
The technology works by capturing a detailed 3-D model of your teeth and gums within seconds. These digital images are displayed on a chair-side monitor allowing us to show you a simulation of what the crown will look like after treatment. iTero is just another example of how Garden City Smiles stays at the forefront of medical innovation and modern dentistry.
What Should I Expect During Treatment?
The Dental Crown Procedure
"We can craft your restoration from several different materials including porcelain, resin, and ceramic."
Take One Step Closer To a Restored Smile
Our dentistry team likes to help you save time in the office. Get ready for your first appointment by printing new patient forms ahead of the visit. Then, you can fill them out and bring them to our Long Island practice.
Long Island Smiles Brighter Thanks to Our Dental Team
"Best dentist hands down. I travel from out east to use Dr Buono. I use to have a huge fear of the dentist now I look forward to my visits. I highly recommend him. His staff is just as pleasant." Lauren Gafarian
What will my finished crown look like?
Porcelain Crowns Are Virtually Indistinguishable From Natural Teeth

Many patients opt for a whitening procedure prior to dental crown treatment to update their entire smile to a consistent bright shade of white.
Is Cost Keeping You From Visiting Us?
Many dental patients put off treatment because they're worried about cost. We offer free initial consultations so you've got nothing to lose as you explore experiencing a healthier, more beautiful smile. Our friendly team can also file paperwork with your dental insurance to make the process easier.
Choose a Dental Team That Invests in You
From our dentist's education to our advanced dental technology, we proudly invest in our patients' well-being.
For instance, Dr. Buono still pursues continuing education, even after earning over 30 years of experience. He has even completed the Aesthetic Advantage program, which is run by a cosmetic dentist known across the globe.
Our practice also uses advanced dentistry technology, like our precise digital X-rays and our Cadent iTero® scanner, for improved patient comfort and accuracy.
If you're ready to reach out, message our Long Island dental team or call:
(516) 294-0375
Ready to Learn More?

Dr. Buono Delivers the Best Results For Your Needs
Dr Buono and his staff are the best! They’re always so friendly and accommodating. I know Dr Buono always has my best interest at heart and that makes the whole going to the dentist experience even better.
View On GoogleDr. Buono always makes you feel comfortable and engaged in your own treatment. He explains your options and his execution of the treatment is always mindful, professional and caring. If you need to have dentistry done, Louis j. Buono, DDS is the man for you !
View On GoogleHow Long Do Crowns Usually Last?
Most crowns have a lifespan of about seven to ten years. This can be extended though with good dental hygiene and proper care. That dedicated care can also prevent decay or an infection in the root canal of a tooth, so you shouldn't require further treatment other than replacing your crown due to wear and tear.
Maintaining Your Dental Crown
Avoid Unnecessary Pressure
It is important to avoid extremely hard or chewy foods that might dislodge your crack the restoration. Refrain from grinding your teeth or opening packages with your mouth, since a dental crown can wear down just like natural tooth enamel.
Practice Good Oral Hygiene
Brush your teeth twice daily and floss regularly, especially around your crown treated tooth. Rather than pulling the floss up and down, the floss should be pulled front to back to prevent dislodging the crown.
Attend Regular Check-Ups
Visit our Long Island, NY, practice bi-annually for deep cleaning and check-up. The dentist will be able to check the status of your crown and make sure your natural tooth is still properly protected and healthy.






